当前位置: 首页 >> 科普公益 >> 科普创新作品展播 >> 氧与健康科普大奖赛

    高压氧辅助治疗渗透性脱髓鞘综合征1例【冰轮杯第五届氧与健康网络科普大奖赛参赛作品】

    发布时间:2023-10-18 14:53

    作者:代艳芬 谷健

    单位:山东青岛大学附属医院

    渗透性脱髓鞘综合征是一种非炎症性神经元脱髓鞘改变,主要病理改变表现为少突胶质细胞凋亡、髓鞘降解及巨噬细胞浸润等,根据脱髓鞘的位置 分为桥脑中央髓鞘溶解和桥外髓鞘溶解。研究表明患病率约为0.25-0.5%,相对较低但预后差,甚至可能导致严重残疾或死亡。2023年1月我们收治了1例电解质紊乱后渗透性脱髓鞘综合征患者,予以药物联合高压氧治疗,疗效满意。

    一、病历资料及治疗效果



    患者是32岁的青年女性,因“食欲减退15天,精神萎靡、乏力12天”入院。入院前15天,无明显诱因出现食欲减退,伴有全身乏力,在当地医院查血液电解质示:钾离子1.3mmol/L,钠离子102.7mmol/L,以“电解质紊乱、低钾血症、低钠血症”收入院。入院后,予以纠正电解质紊乱及对症治疗后,血钾、血钠补至正常范围,患者逐渐出现精神异常,强哭强笑,目光呆滞,并出现肢体不自主抖动,偶有夜间烦躁。于2023年1月17日,为进一步诊疗收入我院神经内科。查体阳性体征:强哭强笑,言语不清,高级智能粗测不配合,伸舌不合作,上肢肌力3级,下肢肌力1级,肌张力增高,共济运动不配合,双侧痛觉不配合,四肢腱反射(+++)。初步诊断:肢体无力原因待诊、电解质紊乱、低钠血症、低钾血症。

    入院后,予以银杏叶提取物改善微循环,奥拉西坦营养脑神经,甲泼尼龙琥珀酸钠抗应激、抗炎,调整电解质平衡等治疗。入院当天即开始,采用多人空气加压舱行高压氧治疗,治疗压力0.06 MPa(1.6 ATA),升压15min,稳压45 min,佩戴面罩吸氧,每20 min休息5 min吸舱内空气,减压15 min出舱(减压过程持续吸氧)。1次/d,前2次患者于舱内出现烦躁安抚后可缓解,治疗过程顺利,患者无不适,后续恢复情况,见表1。

    图片
    二、检查检验相关指标



    1、入院后检测肝肾功能、风湿三项、心梗三项+NT-proBNP、甲功五项等指标基本正常。抗中性粒细胞胞浆抗体测定+抗磷脂抗体测定+ENA抗体谱+抗核抗体及滴度测定均阴性。纠正电解质异常后,血钾、血钠等也恢复正常。

    2、影像学检查

    2023.01.10颅脑MR平扫未见明显异常;2023.01.17查脑电图、肌电图均未见异常。

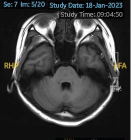
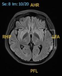
    2023.01.18颅脑MR平扫示双侧基底节区及桥脑异常信号,考虑渗透性神经脱髓鞘综合征可能,见图1。

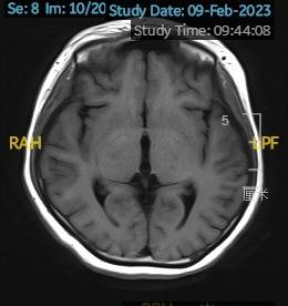
    2023.02.09颅脑MR平扫示双侧基底节区及桥脑异常信号,考虑渗透性神经脱髓鞘综合征可能,脑桥部病灶较前范围增大,请结合临床,见图2。

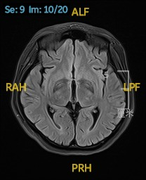
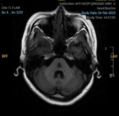
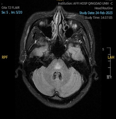
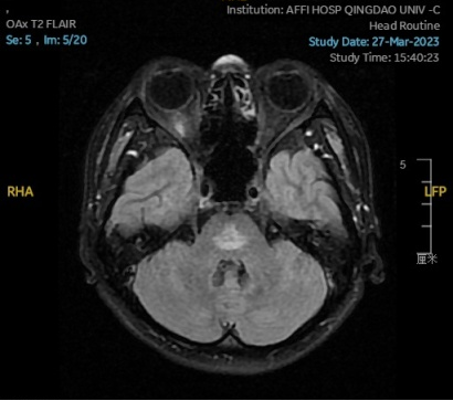
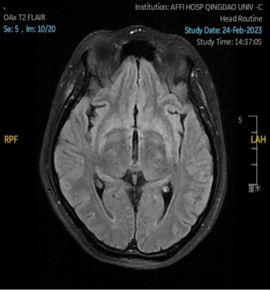
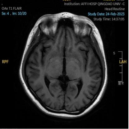
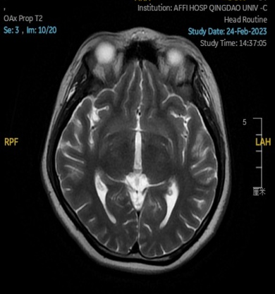
    2023.02.24颅脑MR平扫示双侧基底节区及桥脑异常信号,考虑渗透性脱髓鞘综合征,见图3。

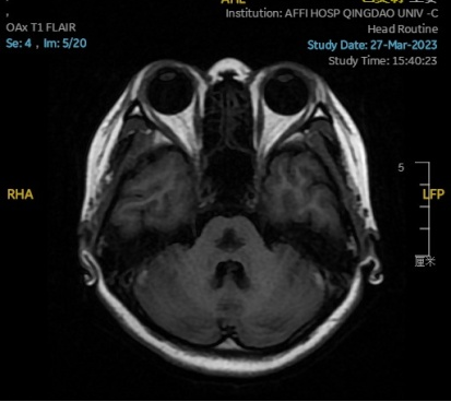
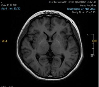
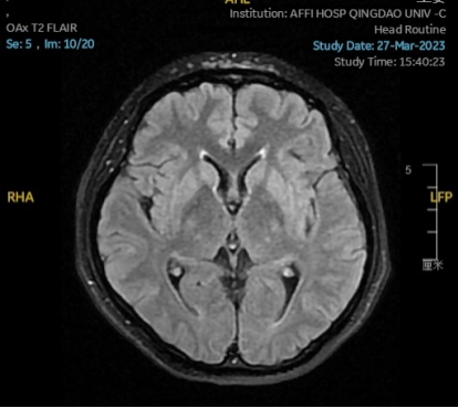
    2023.03.27颅脑MR平扫示双侧基底节区及桥脑异常信号,考虑渗透性脱髓鞘综合征,较前范围略减小,请结合临床,见图4。

    图片
    图片
    图片
    图片
    图片
    图片

    图1 2023.1.18颅脑MR成像示双侧基底节区及桥脑见对称性片样长T1长T2信号,FLAIR呈高信号。脑室、脑池、脑沟、脑裂未见明显异常。中线结构居中。小脑、脑干未见明显异常信号。 


    图片
    图片
    图片
    图片
    图片
    图片

    图2 2023.02.09颅脑MR成像示双侧基底节区及桥脑见对称性片样长T1长T2信号,FLAIR呈高信号,较2023-01-18MR所示脑桥病灶范围增大。脑室、脑池、脑沟、脑裂未见明显异常。中线结构居中。


    图片
    图片
    图片
    图片
    图片
    图片

    图3 2023.02.24颅脑MR成像示双侧基底节区及桥脑见对称性片样长T1长T2信号,FLAIR呈高信号。脑室、脑池、脑沟、脑裂未见明显异常。中线结构居中。


    图片
    图片
    图片
    图片
    图片
    图片

    图4 2023.03.27双侧基底节区及桥脑见对称性片样长T1长T2信号,FLAIR呈高信号,较2023-02-24MR所示范围减小。脑室、脑池、脑沟、脑裂未见明显异常,中线结构居中。

    三、治疗机理及简要总结



    渗透性脱髓鞘综合征是由敏感神经元细胞,特别是少突胶质细胞的渗透平衡迅速改变引起的一种严重的临床综合征。具体的病理机制至今尚不清楚,目前酗酒史、低钠血症的快速纠正和肝移植,被认为是渗透性脱髓鞘综合征三大高危因素。影像学检查结合临床,可以早期诊断渗透性脱髓鞘综合征。该疾病没有特异性的治疗方法,主要是药物联合康复治疗,预后一般较差。

    高压氧治疗是在高于正常大气压的环境下吸入高浓度的氧气,从而达到辅助治疗疾病的目的。高压氧作为一种相对安全、无创的治疗方法,在临床中主要用于感染、缺血、周围神经损伤等缺血缺氧相关疾病。本案例讲述电解质紊乱后渗透性脱髓鞘综合征患者,应用高压氧治疗后恢复良好。为高压氧治疗该类患者提供临床依据。其相关机制主要有:1、高压氧可以调节血管舒缩功能,增加缺血区的血流量和椎基底动脉供血量,提高血氧有效扩散距离。2、高压氧可以减轻神经炎症反应,下调促炎细胞因子,同时可以上调抗炎细胞因子,使其具有潜在的细胞保护作用。3、高压氧可以增加血液循环中氧含量,刺激干细胞增殖和某些调节愈合过程的生长因子,通过阻断线粒体介导的凋亡信号通路抑制氧化应激。4、高压氧还可以通过多种途径对细胞和神经元恢复起一定作用。

    目前,国内外对于高压氧辅助治疗渗透性脱髓鞘综合征报道罕见,本例电解质紊乱后出现渗透性脱髓鞘综合征患者,予以常规药物同时,及时联合高压氧治疗后,效果良好而得到成功救治。随访3月患者能正常生活。今后,我们将注意积极收集资料扩大样本量,重点关注和研究高压氧治疗,对于渗透性脱髓鞘综合征患者的有效性和安全性,以期高压氧治疗可以作为渗透性脱髓鞘综合征无创性治疗的首选。