当前位置: 首页 >> 科普公益 >> 科普宣传

    且行且珍“膝”:膝关节疼痛之“二分髌骨”

    发布时间:2024-04-08 20:42


    二分髌骨


    ANSWER

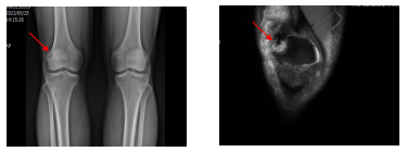
    也被称为分裂髌骨,是一种常见的生理现象。在X线或CT等影像学检查中,可以观察到正常人的髌骨只有一列,而二分髌骨则有两列。这种特征性的表现通常不会引起任何症状,常常在受到外部压力或损伤时,可能会引发疼痛或不适。

    图片

    诊断与评估



    对于二分髌骨的诊断,主要依赖于影像学检查,如X光、CT或MRI等。医生会根据这些检查结果,评估二分髌骨的状态,包括是否有疼痛、炎症或其他并发症。同时,医生还会进行全面的体格检查,以了解患者的疼痛程度、活动能力以及是否有其他潜在的疾病。

    图片
    图片

    图片来源于文献:潘子翔,邢学武. 二分髌骨的诊断和治疗. 中华外科杂志,2016,54(4):305-308.

    治疗建议



    一般来说,二分髌骨如果没有引起任何症状,是不需要治疗的。然而,如果患者在运动或日常生活中出现疼痛或不适,可能需要进行以下治疗:

    • 物理治疗:包括冷敷、热敷、推拿、电疗等,有助于缓解疼痛和炎症。

    • 药物治疗:医生可能会开具非处方药或处方药,以帮助患者缓解疼痛和炎症。常用的如中药口服或外敷,非甾体消炎镇痛药等。

    图片
    • 手术治疗:在极端情况下,如果非手术治疗无法缓解患者的症状,可能需要进行手术治疗。手术方法包括切开复位内固定、关节镜下复位固定等。

    预防措施



    1.维持健康体重

    超重会增加关节负担,可能导致疼痛和不适。健康饮食,保持BMI指数在正常范围。

    图片

    2. 合理运动

    适当的运动有助于保持关节的灵活性和稳定性,但应避免剧烈运动、过度使用关节。中国传统保健运动,如太极拳、八段锦等是非常适合膝关节的运动疗法。

    3. 强化肌肉

    通过进行适当的肌肉锻炼,如游泳、骑自行车等,可以增强膝关节周围的肌肉力量,有助于减轻髌骨的压力。

    图片

    4. 佩戴护具

    在进行可能对膝关节产生压力的活动时,如跑步或健身,应佩戴合适的护具保护髌骨及周围肌腱、韧带。

    5. 避免不正确的姿势

    如长时间保持同一姿势,可能会对髌骨产生不必要的压力,尽量避免使膝关节承担过重负担的运动,如长期爬山、反复上下楼梯、蹲起等。

    6. 保持良好的生活习惯

    充足睡眠、均衡饮食、适量运动等有助于维护身体健康和预防慢性疼痛。

    7. 注意保暖

    在寒冷、潮湿天气中,应注意保暖,避免膝关节受凉,以减少疼痛和炎症的发生。

    8. 定期检查

    定期进行影像学检查和体格检查,以便及时发现并处理可能的问题。

    QUESTION


    ANSWER

    总之,对于二分髌骨的患者,了解其生理现象并采取适当的预防措施是非常重要的。如果出现问题,应及时就医并接受专业治疗。通过正确的诊断和治疗,可以有效地缓解疼痛和不适,提高生活质量。


    作者:刘建成,主治医师,西部战区总医院。

    审核:穆晓红,主任医师,北京中医药大学骨科临床学系常务副主任、东直门医院骨科四区主任;中国康复医学会骨与关节专委会副主任委员。